• Quiénes somos
  • Patologías
  • Sialoendoscopía
    • + Sialoendoscopía
    • + En qué consiste
    • + Publicaciones
    • + Galería de imágenes
    • + Problemas y tratamientos
  • Teleconsultas
  • Preguntas frecuentes







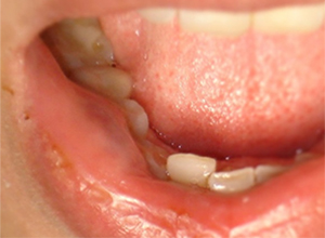
  • Mucocele de labio inferior


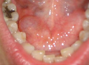
    Mucocele de Glándula Sublingual

  • Patologías

    Quistes Salivales

    Mucoceles
    Es la acumulación de saliva dentro de una cavidad quística.
    Es la lesión no neoplásica más común de las glándulas salivales (9 a 10%)
    Hay dos tipos de mucocele de extravasación y de retención.
    El 70% de los quistes de extravasación se observan en el labio inferior.
    Los quistes de retención están distribuidos en distintos sitios de la cavidad oral y en las glándulas salivales mayores.
    Los mucoceles del piso de la boca, que son más grandes, a menudo se denominan ránulas.

    Quistes ductales
    Son quistes adquiridos que se desarrollan a partir de la dilatación quística de un conducto glándular salival.
    La mayoría se presentan en la parótida, y la obstrucción ductal parece ser el principal factor etiológico.

    Quistes linfoepiteliales
    Similares a los ductales, son menos frecuentes que éstos y se caracterizan por presentar un tejido linfoideo denso en la pared del quiste.
    La mayoría se observan en la parótida y pueden provocar dolor o compromiso del nervio facial

    Enfermedad poliquística de la parótida Es una malformación del sistema ductal rara, similar a la enfermedad poliquística renal.

    Enfermedad de las glándulas salivales asociada al HIV (quiste linfoepitelial múltiple de la parótida)
    Las linfadenopatías persistentes generalizadas; son una de las manifestaciones tempranas de la infección por HIV. Una manifestación menos conocida, pero relacionada con la infección por HIV, es la hiperplasia linfoidea de las glándulas salivales, especialmente de la parótida.
    La incidencia de compromiso parotídeo en enfermos de sida parecería ser de alrededor del 5% en los adultos, mientras que en los niños esta cifra aumenta a cerca del 47%.

    Volver
  • Home
  • Quiénes somos
  • Patologías
  • Sialoendoscopía
  • Teleconsultas
  • Preguntas frecuentes
  • Contacto
  • Clínica de las Glándulas Salivales © 2015. Todos los Derechos Reservados

  • Diseño web